Three ancient mummies, discovered in a rock-cut tomb in Egypt over 400 years ago, are finally revealing their secrets, now that scientists have performed CT scans of their remains.
The remains are the only known surviving 'molded portrait mummies' from Saqqara, an ancient Egyptian necropolis.
Unlike other mummies that were buried in sarcophagi, these people were placed on wooden planks, wrapped in cloth and a 'beautiful mummy shroud', decorated with plaster, gold and painting, says researcher Stephanie Sesch, an anthropologist and Egyptologist for the German Mummy Project at the Reuss Museum. Engelhorn in Mannheim, Germany.
CT (computed tomography) scans show that one of the three plaster-coated mummies was buried with organs (even brains), and two women were buried with beautiful necklaces, the researchers found.

A CT scan shows the beads of a necklace on a woman's neck and body. (Zesh et al., PLOS One, 2020).
Computed tomography showed that mummified people – a man, a woman and a teenage girl lived in the late Roman period (30 BC – 395 AD).
The mummies were buried with artifacts believed to be useful in the afterlife, including coins, possibly intended to pay for Charon, a Roman and Greek deity who transported souls across the Styx River.
The CT scan also revealed several health problems, including the woman's arthritis.
“A survey of the mummies showed that people died at a fairly young age … but the cause of death has not been identified,” Xesh told Live Science.
Computed tomography showed that the man died between the ages of 25 and 30. His height was about 163 centimeters, he had two unerupted molars and several cracks in the bones.
Although the man's brain has not survived, there is no evidence that it was removed. Also, many of the embalming substances were not used. Instead, it was wrapped and painted.
According to Xesh, the two metal objects found during the investigation are most likely seals from the mummification workshop that processed his remains.

Portrait of a mummy teenager. (Zesh et al., PLOS One, 2020).
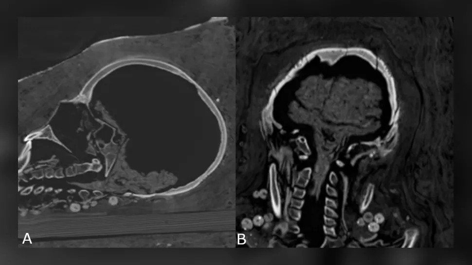
The woman's brain was not preserved either, but the adolescent's brain was preserved – it had shrunk, but the brain and brainstem could still be identified – and other internal organs of the adolescent were also present.
“We're pretty sure these mummies didn't have their brains or internal organs removed,” Xesh said.

Shrinking teen brain. (Zesh et al., PLOS One, 2020)
'It is very likely that the mummies survived only because of some kind of dehydration from the [dehydrating mixture] natron.'
The woman, who died between the ages of 30 and 40, was about 151 cm tall. She had advanced arthritis in the left knee. The teenager, according to computed tomography, died between the ages of 17 and 19 and was about 156 cm tall.
According to the researchers, she had a benign tumor in her spine known as vertebral hemangioma, which is more common in people over 40.
Both women are buried with many necklaces.
“Because of these precious shrouds, we are confident that people should belong to a high socio-economic class,” said Xesh.
This research served as the basis for an interactive exhibition of male and female mummies in Dresden. The mummy of a teenager is on display at the Museum of Egyptian Antiquities, Cairo, Egypt.
The research is published in the journal PLOS One.
Article published by Live Science.
Sources: Photo: (Zesch et al., PLOS One, 2020)
